HOSPITAL ÁNGELES ACOXPA, Calz. Acoxpa 430, Consult. 325
3:00 pm a 9:00 pm
Neurocirujano
Soy médico especialista en cirugía neurológica y columna vertebral, con la experiencia profesional en el uso de la tecnología más innovadora a nivel mundial, para lograr los mejores resultados en las enfermedades del cerebro y la columna vertebral.
“Con el profesionalismo y calidez humana que usted y su familia se merecen”
Cirugía
Cirugía
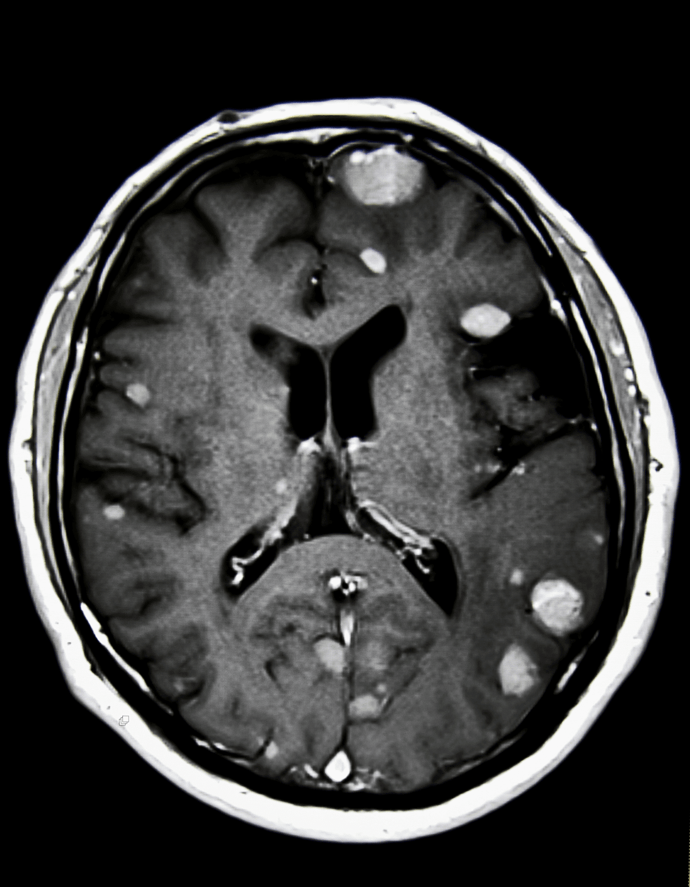
Craneotomía y Tumorectomía
Craneotomía y Drenaje

Soy médico especialista en cirugía neurológica y columna vertebral, con la experiencia profesional en el uso de la tecnología más innovadora a nivel mundial.