HOSPITAL ÁNGELES ACOXPA, Calz. Acoxpa 430, Consult. 325
3:00 pm a 9:00 pm
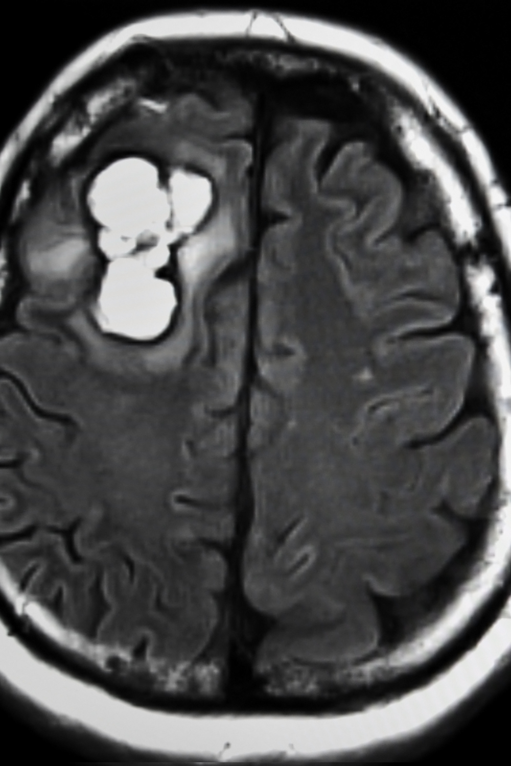
Los tumores de cerebro se caracterizan por el crecimiento de células anormales en el tejido cerebral. Los tumores pueden ser benignos (sin células de cáncer) o malignos (con células cancerígenas que crecen muy rápido). Algunos tumores se denominan primarios, o sea, que comienzan en el cerebro, otros son metastásicos, quiere decir que comenzaron en alguna otra parte del cuerpo y tienen la capacidad de invadir al cerebro.
Los tumores en el cerebro se pueden agrupar dependiendo del tipo de células que se ven afectadas (como meningiomas, gliomas, ependimomas, etc.) o por el lugar en el que se encuentran dentro del cerebro. Casi la mitad de los tumores en el cerebro no son cancerosos (son benignos), crecen lentamente y responden bien al tratamiento.
Los tumores en el cerebro pueden mostrar varios síntomas. Estos son algunos de los más comunes:
✓ Dolores de cabeza, generalmente por la mañana
✓ Náuseas y vómitos
✓ Cambios en la capacidad de hablar, escuchar o ver
✓ Problemas de equilibrio o al caminar
✓ Alteraciones en la memoria
✓ Cansancio o sentir muchas ganas de dormir
✓ Cambios en el estado de ánimo o conducta
✓ Convulsiones
Los tumores se diagnostican por medio de un examen neurológico y pruebas de imágenes como son: tomografía computarizada, resonancia magnética, etc.
Actualmente, existen muchas opciones de tratamiento, entre ellas: cirugía, radiación, quimioterapia y terapia dirigida.

Soy médico especialista en cirugía neurológica y columna vertebral, con la experiencia profesional en el uso de la tecnología más innovadora a nivel mundial.